Overview

In a central retinal artery occlusion (CRAO), there is a blockage at the point where the central retinal artery pierces the dura mater of the optic nerve sheath. It is at this point that the lumen of the central retinal artery is at its narrowest, making it the most vulnerable site for occlusion.

A CRAO means that there is no oxygenated blood reaching the retina, so it quickly becomes ischaemic and swelling of the retinal nerve fibre layer ensues, causing most of the retina to appear white and opaque. The exception to this is the fovea which retains its normal red colour. This is due to the fact that the central macula is characterised by the foveal avascular zone. In this area, the inner retina is physiologically absent so the swelling and whitening of the RNFL does not affect this zone and the practitioner can visualise the normal red colour of the choroidal circulation (supplied by the posterior ciliary arteries rather than the central retinal artery).

CRAO causes catastrophic vision loss. It may be preceded by amaurosis fugax – a transient loss of vision – that becomes a sudden severe and persistent loss of vision when complete occlusion occurs.

Up to 50% of people have an anomalous additional branch to their short posterior ciliary artery supplying the papillomacular bundle, known as a cilioretinal artery. If a cilioretinal artery is present, the area between the disc and macula (papillomacular area) can remain well perfused, and the vision may be relatively spared.

Case Example

  • Case 1

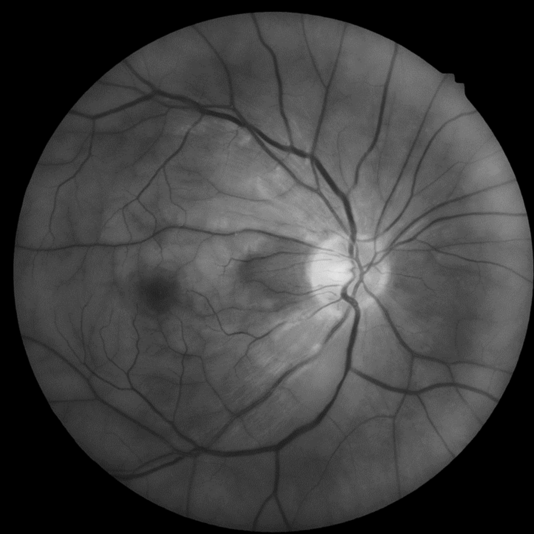
    A 66-year-old Caucasian male with a sudden loss of vision in the right eye. He was diagnosed with a central retinal artery occlusion by an ophthalmologist. Images from a one-month follow-up appointment have also been included.

    Fundus photography and red free image (right eye) at initial presentation

    More info

    Cirrus OCT macula line scan

    More info

    Cirrus OCT Angiography 6 x 6mm at follow up (retinal layer)

    More info

    30-2 SITA standard visual field (at 1 month follow-up)

    More info

Differential Diagnosis

References

Chen, C., Lee, A. (2008) Management of acute central retinal artery occlusion. Nat Rev Neurol 4, 376–383.

Fallico, M., Lotery, A.J., Longo, A. et al. (2020) Risk of acute stroke in patients with retinal artery occlusion: a systematic review and meta-analysis. Eye 34, 683–689

Kim YH, Park KH, Woo SJ (2020) Clinical Manifestations and Visual Prognosis of Cilioretinal Artery Sparing Central Retinal Artery Occlusion Korean J Ophthalmol 2020;34(1):27-34

Varma, D., Cugati, S., Lee, A. et al. (2013) A review of central retinal artery occlusion: clinical presentation and management. Eye 27, 688–697.

Woo, S., Lip, G. & Lip, P. (2016) Associations of retinal artery occlusion and retinal vein occlusion to mortality, stroke, and myocardial infarction: a systematic review. Eye 30, 1031–1038.