Overview

A CSHRPE is a rare benign hamartoma of the RPE. It may be associated with vitreoretinal traction, exudation, feeder vessels and pigmented vitreous cells.

Funduscopic features include a focal, dark pigmented nodular lesion often found within the macular region.

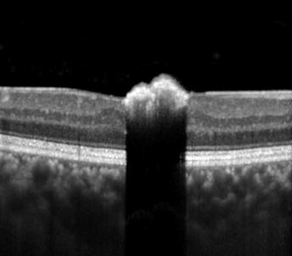
OCT imaging shows an elevated hyper-reflective lesion within the inner retina with deep posterior optical shadowing.

Fundus autofluorescence imaging shows corresponding hypo-autofluorescence.

Case Examples

  • Case 1

    A 50 year old asymptomatic Middle Eastern male with best corrected visual acuity of 6/7.5 (20/25) in the right eye.

    Fundus photograph (1), green free (2) and red free (3) images

    More info

    Stereoscopic image of the CSHRPE

    More info

    Fundus autofluorescence image

    More info

    Spectralis OCT line scan through the lesion

    More info

    Spectralis OCT volume scan through the lesion

    More info
  • Case 2

    A 38 year old asymptomatic Caucasian male with best corrected visual acuity of 6/6 (20/20) in the right eye.

    Fundus photograph (1), green free (2) and red free (3) images

    More info

    Fundus autofluorescence image

    More info
  • Case 3

    A 16 year old asymptomatic Asian female with best corrected visual acuity of 6/6 (20/20) in the left eye.

    Fundus photograph (1), green free (2) and red free (3) images

    More info

    Stereoscopic image of the lesion

    More info

    Fundus autoflurescence image

    More info

    Spectralis OCT line scan through the lesion

    More info

    Spectralis OCT volume scan through the lesion

    More info

Differential Diagnosis

References

Ly, A. Nivison-Smith, L. Hennessy, M. Kalloniatis, M. (2015) Pigmented Lesions of the Retinal Pigment Epithelium, Optometry and Vision Science: Volume 92 - Issue 8

Shields et al., 2003. Congenital simple hamartoma of the retinal pigment epithelium: a study of five cases